«Не ставьте у ворот»: Сафонов с юмором о своей оплошности в игре с Нигерией
Российский вратарь французского «ПСЖ» Матвей Сафонов прокомментировал в своем Telegram-канале ошибку, совершённую им в товарищеском...
Мы освещаем главные события дня, предоставляя факты, мнения экспертов и репортажи с места событий.
Мы освещаем главные события дня, предоставляя факты, мнения экспертов и репортажи с места событий.
Российский вратарь французского «ПСЖ» Матвей Сафонов прокомментировал в своем Telegram-канале ошибку, совершённую им в товарищеском...
В подмосковном городе Пушкино произошел крупный пожар на складе моторных масел, после которого пропали семь...
Блогер Ида Галич поделилась на Instagram серией фотографий, на которых она запечатлена со своим женихом...
В интервью белорусскому телеканалу «Первый информационный» официальный представитель МИД России Мария Захарова предостерегла украинские власти,...
Президент Беларуси Александр Лукашенко предложил установить в Минске памятник председателю Китая Си Цзиньпину. Об этом...
В городе Пушкино, расположенном в Подмосковье, произошел пожар на складе горюче-смазочных материалов, который стремительно охватил...
В баварском городе Пассау, расположенном на юге Германии, произошло ДТП: автомобиль врезался в группу людей...
В подмосковном Пушкино произошёл пожар, захвативший склады с горюче-смазочными материалами компании Luxe Oil. Эту информацию...
На премии Муз-ТВ певица Лолита произвела фурор, появившись в эффектном облегающем черном платье, украшенном стразами....
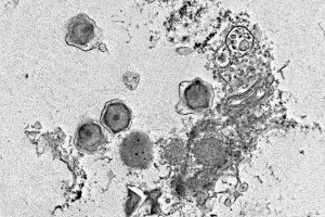
Американские исследователи из Школы морских и атмосферных наук Розенштиля при Университете Майами совершили значительный прорыв...